足利市で清潔な歯医者さん
| 受付時間 | 月 | 火 | 水 | 木 | 金 | 土 | 日 |
|---|---|---|---|---|---|---|---|
| 9:00~12:15 | ○ | ○ | ○ | / | ○ | ◎ | / |
| 14:15~17:30 | ○ | ○ | ○ | / | ○ | / | / |
◎土曜日受付9:00~13:45/休診日:日曜日・木曜日・祝日
こんな悩みはありませんか?
「歯が黄色い感じがする。」
「年齢を重ねるにつれて歯が黄色くなった。白い歯に戻りたい。」
「神経を取った歯が1本だけ変色している。」
この悩みは歯のホワイトニングで解消できます。
とにかく歯を白くしたい方におすすめ!
自然の白さが手に入るホームホワイトニングをお勧めいたします。
これは自宅で出来るホワイトニング。1日90分マウスピースをはめるだけ。 忙しくて頻繁に歯医者に行けない方にはぴったり。
ホワイトニングには後戻りというものがあります。白くなった状態でまったく何もしないと、徐々にもとの色に戻っていきます。
ホームホワイトニングはゆっくり白くしていくため、この後戻りも非常にゆっくりです。また、1ヶ月に2,3日ホームホワイトニングを続けていくと、白さが維持できます。
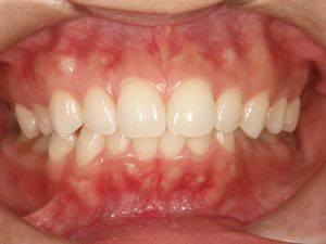
以下は当院の患者様です。承諾を得て掲載しております。
術前
術後
術前
術後
術前
術後
術前
術後
術前
術後
1日90分マウスピースをはめるだけです。
治療名:ホームホワイトニング
治療の説明:自宅で行うホワイトニング。歯科医院で専用マウスピースを作り、自宅にてそのマウスピースにホワイトニングの薬剤を塗って、1日90分装着します。白くなるには日数がかかります。
治療のリスクや副作用:歯に白斑(白いまだら模様)が出る可能性があります。痛みや知覚過敏が起きる可能性があります(数日で改善することがほどんどです)。
ホワイトニングの前には歯のクリーニングが必要な為、別途診療代がかかります。
治療の価格:40,000円(税別)(薬剤、マウスピース、を含む)
| 月 | 火 | 水 | 木 | 金 | 土 | 日 | |
|---|---|---|---|---|---|---|---|
| 午前 | ○ | ○ | ○ | / | ○ | ◎ | / |
| 午後 | ○ | ○ | ○ | / | ○ | / | / |
午前:9:00~12:15
午後:14:15~17:30
◎土曜日受付13:45まで
休診日/:木曜日・日曜日・祝日
| 日 | 月 | 火 | 水 | 木 | 金 | 土 |
|---|---|---|---|---|---|---|
| 1 | 2 | 3 | 4 | 5 | 6 | 7 |
| 8 | 9 | 10 | 11 | 12 | 13 | 14 |
| 15 | 16 | 17 | 18 | 19 | 20 | 21 |
| 22 | 23 | 24 | 25 | 26 | 27 | 28 |
| 29 | 30 | 31 |
| |||
赤字:休診日
土曜日 受付時間 13:45
| 日 | 月 | 火 | 水 | 木 | 金 | 土 |
|---|---|---|---|---|---|---|
|
| 1 | 2 | 3 | 4 | ||
| 5 | 6 | 7 | 8 | 9 | 10 | 11 |
| 12 | 13 | 14 | 15 | 16 | 17 | 18 |
| 19 | 20 | 21 | 22 | 23 | 24 | 25 |
| 26 | 27 | 28 | 29 | 30 |
| |
赤字:休診日
土曜日 受付時間 13:45
| 日 | 月 | 火 | 水 | 木 | 金 | 土 |
|---|---|---|---|---|---|---|
|
|
|
| 1 | 2 | ||
| 3 | 4 | 5 | 6 | 7 | 8 | 9 |
| 10 | 11 | 12 | 13 | 14 | 15 | 16 |
| 17 | 18 | 19 | 20 | 21 | 22 | 23 |
| 24 | 25 | 26 | 27 | 28 | 29 | 30 |
| 31 |
赤字:休診日
土曜日 受付時間 13:45