足利市で清潔な歯医者さん
| 受付時間 | 月 | 火 | 水 | 木 | 金 | 土 | 日 |
|---|---|---|---|---|---|---|---|
| 9:00~12:15 | ○ | ○ | ○ | / | ○ | ◎ | / |
| 14:15~17:30 | ○ | ○ | ○ | / | ○ | / | / |
◎土曜日受付9:00~13:45/休診日:日曜日・木曜日・祝日
むし歯の治療で型を取る場合、そのほとんどが大きく被せる場合です。そのため“見える” ことが心配されます。
せっかく治すのであれば歯と同じ白いものをご希望される方がほとんどでしょう。
全部被せる場合でも、部分的に被せる場合でも白く、自然に治すことができます。
金属をまったく使わず、非常に綺麗に治せます。(場合によっては金属が必要になります。)
また、金属を使わないということは金属アレルギーの心配もありません。
今は、一部健康保険適用の部分もあります。ご相談ください。
材質としては、ジルコニア、セラミック、硬質レジンなどがあります。
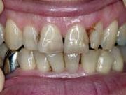
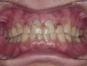
治療前のお口の状態です。むし歯や銀歯が見られます。
金属ではなく白い歯で、とのことでしたので、メタルフリーで治療方針を立てて患者様と相談し、進めていきました。
小さいものから、全部被せるものまでありましたが、ご希望通りの金属なしの治療を終了いたしました。患者様にもこの写真をお渡ししまして、比較をしていただきました。
銀歯を白くしたいとのご希望でした。
銀歯と白い葉では印象が全く違います。非常に明るく感じます。
下の歯は会話中や笑ったときに奥歯まで見えますので、白くする効果は十分あります。
前歯のちょっとした汚れや、茶色い部分は気になりますよね。
これは小さい虫歯を詰めた“コンポジットレジン”というプラスチックが変色したものです。
治すには、新しいもので詰める必要があります。材料そのものの変色なので、表面をいくら磨いても白くなりません。
詰め物を新しくするだけで口元が明るくなります。笑顔レベルUPです。
(保険診療適応です。)
上の歯の歯と歯の間2箇所です。詰め物を新しいものにしました。処置時間も5分程度です。
治療名:ジルコニア治療
治療の説明:見た目や噛み合わせなどの改善を目的に、人工の歯(かぶせもの)で補う治療法です。
治療のリスクや副作用:強い力をかけると割れる(欠ける)可能性があります。セラミックよりも固いので、奥歯の治療に適しています。土台となるご自身の歯を削る必要があります(削る量は材質や個人差によります)。歯の状態によっては神経の治療が必要になる場合があります。
治療の価格:60,000円~(税別)
治療名:セラミック治療
治療の説明:見た目や噛み合わせなどの改善を目的に、人工の歯(かぶせもの)で補う治療法です。
治療のリスクや副作用:強い力をかけると割れる(欠ける)可能性があります。土台となるご自身の歯を削る必要があります(削る量は材質や個人差によります)。歯の状態によっては神経の治療が必要になる場合があります。
治療の価格:50,000円~(税別)
| 月 | 火 | 水 | 木 | 金 | 土 | 日 | |
|---|---|---|---|---|---|---|---|
| 午前 | ○ | ○ | ○ | / | ○ | ◎ | / |
| 午後 | ○ | ○ | ○ | / | ○ | / | / |
午前:9:00~12:15
午後:14:15~17:30
◎土曜日受付13:45まで
休診日/:木曜日・日曜日・祝日
| 日 | 月 | 火 | 水 | 木 | 金 | 土 |
|---|---|---|---|---|---|---|
|
|
|
|
| 1 | ||
| 2 | 3 | 4 | 5 | 6 | 7 | 8 |
| 9 | 10 | 11 | 12 | 13 | 14 | 15 |
| 16 | 17 | 18 | 19 | 20 | 21 | 22 |
| 23 | 24 | 25 | 26 | 27 | 28 | 29 |
| 30 |
赤字:休診日
土曜日 受付時間 13:45
| 日 | 月 | 火 | 水 | 木 | 金 | 土 |
|---|---|---|---|---|---|---|
| 1 | 2 | 3 | 4 | 5 | 6 | |
| 7 | 8 | 9 | 10 | 11 | 12 | 13 |
| 14 | 15 | 16 | 17 | 18 | 19 | 20 |
| 21 | 22 | 23 | 24 | 25 | 26 | 27 |
| 28 | 29 | 30 | 31 |
| ||
赤字:休診日
土曜日 受付時間 13:45
| 日 | 月 | 火 | 水 | 木 | 金 | 土 |
|---|---|---|---|---|---|---|
|
|
| 1 | 2 | 3 | ||
| 4 | 5 | 6 | 7 | 8 | 9 | 10 |
| 11 | 12 | 13 | 14 | 15 | 16 | 17 |
| 18 | 19 | 20 | 21 | 22 | 23 | 24 |
| 25 | 26 | 27 | 28 | 29 | 30 | 31 |
赤字:休診日
土曜日 受付時間 13:45