足利市で清潔な歯医者さん
| 受付時間 | 月 | 火 | 水 | 木 | 金 | 土 | 日 |
|---|---|---|---|---|---|---|---|
| 9:00~12:15 | ○ | ○ | ○ | / | ○ | ◎ | / |
| 14:15~17:30 | ○ | ○ | ○ | / | ○ | / | / |
◎土曜日受付9:00~13:45/休診日:日曜日・木曜日・祝日
お子様の歯並び、自分の歯並び、気になりますよね?
歯の矯正治療というと何をイメージするでしょうか?
銀色の装置と針金が歯にくっついているというイメージでしょうか。今の矯正治療は色々な装置があり、治療時期や歯並びの具合によって使う装置は様々です。見えないように治す方法もあります。
当院では
などを診査していきます。
歯並びは整えながら育てていくことが大切です。悪くなってから治すのではなく、悪くならないように導いてあげる。小児歯科・予防歯科ではとても大切な考え方です。
歯並びが悪くなる原因のひとつに『態癖(たいへきと読みます)』があります。いわゆる悪い癖です。うつぶせ寝、横向き寝、頬杖、姿勢の悪さ、いつも同じ向きでの食事(例えばいつも同じ位置でTV見ながら食事など)、食事以外に上下の歯をかみ合わせる(くいしばり)、歯ぎしり等、あご周りの筋肉や骨に余計な力が加わっている状態です。
歯並びも悪くなったり、あごが痛くなったり、カクカク音がするようになったり、様々な症状が出る可能性があります。お子様だけではなく、大人の方も今から意識してみてください。
術前
術後
前歯が反対です。このままでは上顎の成長が抑えられてしまいます。
取り外しが出来る簡単な装置で2ヶ月で治りました。
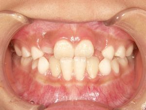
前歯がガタガタになっていて右奥歯のかみ合わせが上下反対です。
取り外しが出来る装置で上顎の歯並びを広げると同時に、ワイヤー(針金)で歯並びを整えました。
歯につける装置は銀色ではなく白色です。また、ワイヤーも細めで目立ちにくいです。
前歯がガタガタになっていて右奥歯のかみ合わせが上下反対です。
取り外しが出来る装置で上顎の歯並びを広げると同時に、ワイヤー(針金)で歯並びを整えました。
歯につける装置は銀色ではなく白色です。また、ワイヤーも細めで目立ちにくいです。
(小学生)
一番奥の歯が手前に来てしまい、歯が出てくる隙間がなくなってしまいました。
このままではでこぼこの歯並びになって、歯を抜いて歯並びを整えることになりそうです。
小学生なので前に来てしまった歯を後ろへ送り、元の位置に戻します。
両方の奥歯が無事に正しい位置に誘導できました。
(小学生)
期間は10ヶ月です。
前歯が反対(下の歯が前にある)の状態です。このまま自然に改善はいたしません。
上顎のみにブラケット(ワイヤー)を取り付けて改善いたしました。
上顎を治すことで、下顎前歯は自然と位置が改善されました。
(成人)
歯を左右に広げる「拡大床(かくだいしょう)」です。小学生などの矯正治療によく用いられます。
取り外しができて、歯磨きがしやすいです。
成人の矯正治療でも用いられます。
上下歯にブラケットという白い装置を取り付けて治します。歯と歯の間はワイヤーが通っていて、毎回調整ごとに交換したりします。でこぼこの歯を一本ずつ動かすことができます。
治療終了時の下顎の裏側です。
矯正治療が終了すると、表の装置は外します。そのままですと元のでこぼこした状態に戻ろうとして、でこぼこになります。それを防ぐためにリテーナーというものを付けます。
写真はリテーナーのひとつです。ワイヤーを歯の裏側に直接くっつけて、後戻り(あともどり)を防ぎます。取れるまで付けておきます。
ここまで治療が進めば、あとは数ヵ月ごとの定期検診です。
治療名:小児矯正治療
治療の説明:歯並びと噛み合わせの改善を目的に行う歯科治療。歯に矯正装置をつけて、歯やあごの骨に力をかけながらゆっくり動かしていきます。
治療のリスクや副作用:歯と顎のバランスによってはご自身の歯を抜く場合があります。まれに歯の根が短くなる可能性があります。装置装着後、痛みを感じることがあります(歯が動く正常な反応なので心配ありません)。頬の粘膜・唇・舌などに、口内炎ができることがあります。
治療の価格:60.000~700,000円(税別)
| 月 | 火 | 水 | 木 | 金 | 土 | 日 | |
|---|---|---|---|---|---|---|---|
| 午前 | ○ | ○ | ○ | / | ○ | ◎ | / |
| 午後 | ○ | ○ | ○ | / | ○ | / | / |
午前:9:00~12:15
午後:14:15~17:30
◎土曜日受付13:45まで
休診日/:木曜日・日曜日・祝日
| 日 | 月 | 火 | 水 | 木 | 金 | 土 |
|---|---|---|---|---|---|---|
|
|
|
|
| 1 | ||
| 2 | 3 | 4 | 5 | 6 | 7 | 8 |
| 9 | 10 | 11 | 12 | 13 | 14 | 15 |
| 16 | 17 | 18 | 19 | 20 | 21 | 22 |
| 23 | 24 | 25 | 26 | 27 | 28 | 29 |
| 30 |
赤字:休診日
土曜日 受付時間 13:45
| 日 | 月 | 火 | 水 | 木 | 金 | 土 |
|---|---|---|---|---|---|---|
| 1 | 2 | 3 | 4 | 5 | 6 | |
| 7 | 8 | 9 | 10 | 11 | 12 | 13 |
| 14 | 15 | 16 | 17 | 18 | 19 | 20 |
| 21 | 22 | 23 | 24 | 25 | 26 | 27 |
| 28 | 29 | 30 | 31 |
| ||
赤字:休診日
土曜日 受付時間 13:45
| 日 | 月 | 火 | 水 | 木 | 金 | 土 |
|---|---|---|---|---|---|---|
|
|
| 1 | 2 | 3 | ||
| 4 | 5 | 6 | 7 | 8 | 9 | 10 |
| 11 | 12 | 13 | 14 | 15 | 16 | 17 |
| 18 | 19 | 20 | 21 | 22 | 23 | 24 |
| 25 | 26 | 27 | 28 | 29 | 30 | 31 |
赤字:休診日
土曜日 受付時間 13:45